나의 반려견 이야기

위케어의 가치의 근간이 된, 저의 강아지 푸딩이에 대한 이야기입니다.

푸딩이는 저의 반려동물이자 위케어가 지향하는 방향과 철학을 세우는 데 깊은 영향을 준 존재입니다.
병원을 설립할 당시 의료기관으로서 수익 창출도 고려해야 했지만, 그보다 더 우선되어야 할 것은 ‘어떤 가치를 추구할 것인가’에 대한 고민이었습니다.
그 중요한 가치의 중심에 푸딩이가 있었습니다.

  • 이름 푸딩
  • 나이 10살
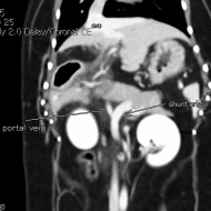
  • 질환 PSS, 에디슨 그외 복합 호르몬질환

모든 병원에서는 진료 난이도가 높아 포기되었던 푸딩이의 질환,
7살에 진단받은 PSS수술에 대해서도 모든 수의사의 말이 달랐습니다.

어떻게든 살려내겠다는 일념으로 해외·국내 교수님께 전부 문의하고 수많은 논문 서칭을 통해
푸딩이는 수술하지 않고 지금까지 잘 살아있습니다.

아픈 아이를 둔 보호자의 마음을 알고 있습니다.
진실과 진심을 다해 최선의 진료를 하겠습니다.

푸딩이를 돌보며 배우고 느낀 것들,
그 모든 경험이 위케어의 가치를 구성하는 뼈대가 되었습니다.


푸딩이와 첫 만남은 아마 아내와 연애를 하고 있을 때였던 것 같습니다.
푸딩이는 아내가 대학생 시절 안국역 근처에서 주워온 유기견으로,
아내와 하루종일 행복한 시간을 보내던 강아지였습니다.

이 글을 쓰면서도 모니터 화면이 잘 보이지 않습니다. 눈물이 계속 나거든요.
아마 자신의 반려동물을 생각하는 보호자라면, 모두가 같은 마음일 거 같습니다.
푸딩이의 시한부 운명은 항상 제 가슴을 쥐어짜게 만듭니다.

내 목숨보다 더 사랑해

전 푸딩이와 점차 친해졌고, 행복한 시간을 같이 보냈습니다. 사실 그때는 잘 몰랐습니다.
이 시간은 항상 영원할 줄 알았고, 제일 소중할 때, 소중함을 못 느끼는 것처럼,
이 시간은 당연한 시간이라고 생각했습니다.
하지만 항상 모든 세상 일에는 행복한 시간이 있다면, 불행한 시간도 존재합니다.

항상 힘이없었던 푸딩이

어느 날부터 푸딩이는 갑자기 밥을 안 먹기 시작했습니다.
병원의 검사 결과는 너무나도 충격적이었습니다.

PSS와 에디슨이 동시 진단

희귀질환인 PSS와 에디슨이 두 가지나 공존해 있었고, 간과 부신에도 문제가 있었습니다.

이후에 갑상선, 간, 부신이
서로 밀접하게 연결되어 있다는 사실을 알게 됩니다.

수의학 분야에서는
이 연관성에 대한 연구가 아직 부족한 편이지만,
의학에서는 이미 활발히 연구되어 온 주제입니다.

결코 독립적인 장기가 아니며, 반드시 유기적으로 함께 이해되어야 합니다.
PSS는 선천적 질환이며, 대부분 수술을 하지 않으면 어린 나이에 폐사하게 됩니다.

푸딩이는 그 당시 6~7살은 되었었고, 푸딩이는 단 한 번의 발작 증상도 보이지 않았습니다.
약간 후회스러운 일이었다면 간이 작고 2살에 결석 수술을 했다고 들었었는데,
그게 징조였다는 것을 제가 눈치채지 못한 것이었습니다.
아빠로서 너무나도 미안했습니다.

그때부터 PSS라는 질환에 대한
과도한 집착이 시작됩니다.​​


PSS수술 성공률은
그렇게 낮지도 높지도 않은 정도라고 생각합니다.
논문마다 성공률은 다 다르지만,
수술 중 사망 확률은 2%~27%까지 다양하지요. ​

PSS수술이 성공하더라도
PANS라는 무시무시한 합병증이 올 수 있습니다.

실제 부작용을 현 로컬에서 너무나도 많이 본 결과, 저는 수술을 시키지 않기로 했습니다.
그 결정을 내리는 게 힘들어서 정말 많이 울었던 것 같습니다.
하지만 결국 수술 없이 5년을 버티고 있는 것을 보면,
잘한 선택인 것 같기도 하고 아닌 것 같기도 합니다.
푸딩이는 이상할 정도로 건강했지만, 내부 장기들은 점점 나빠져갔습니다.

아픈 아이를 둔 보호자의 마음이 어떤지 이해가 가다 못해 제가 그걸 느끼고 있으니 정말 진료를 볼 때는 최선을 다해야겠다는 생각이 들었습니다.
아직은 강아지 별로 떠나진 않았지만,
직감적으로 그게 조만간이라는 것을 잘 알고 있습니다.
하지만 푸딩이를 위해 해줄 수 있는게 많아진 것만으로도, 너무나도 행복합니다.